Новини України
Підбірка новин з українських джерел

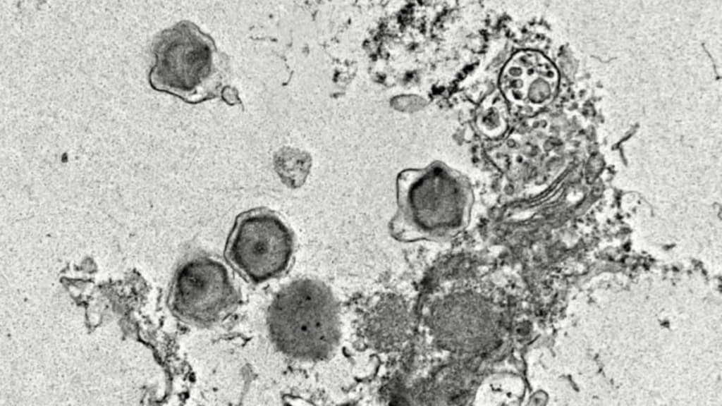
Вчені знайшли сотні нових вірусів, що впливають на здоров’я океанів
Дослідники зі Школи морських, атмосферних та земних наук Розенстіля при Університеті Маямі також виявили 530 нових білків у цих вірусах, дев’ять з яких пов’язані з фотосинтезом, що свідчить про їхнє втручання в процес перетворення енергії. Крихітні океанічні організми, такі як водорості, амеби та джгутикоподібні, є ключовими для морського харчового ланцюга, а гігантські віруси, що їх інфікують, можуть впливати на їхній ріст та виживання. У деяких випадках ці віруси також можуть призвести до проблем громадського здоров’я, таких як шкідливе цвітіння водоростей.
У прагненні розгадати різноманітні види вірусів, що знаходяться у великих водоймах нашої планети, вчені з Розенстільської школи морських, атмосферних та земних наук Університету Маямі виявили 230 нових гігантських вірусів, використовуючи передові обчислювальні засоби та дані про океан. Дослідники також виявили 530 нових білків у цих вірусах, дев’ять з яких пов’язані з фотосинтезом, що свідчить про те, що віруси можуть перешкоджати тому, як їхні носії перетворюють сонячне світло на енергію.
Океанічні віруси мають дивовижні нові функції
За словами Мохаммада Моніруззамана, співавтора дослідження та доцента кафедри морської біології та екології університету, краще розуміння різноманітності та ролі гігантських вірусів в океані, а також того, як вони взаємодіють з водоростями та іншими мікробами, може допомогти передбачити та потенційно контролювати шкідливе цвітіння водоростей, яке становить ризик для здоров’я людини у Флориді та в усьому світі.
«Гігантські віруси часто є основною причиною смерті багатьох видів фітопланктону, який служить основою харчової мережі, що підтримує океанічні екосистеми та джерела їжі. Нові функції, виявлені у гігантських вірусах, можуть мати біотехнологічний потенціал, оскільки деякі з цих функцій можуть представляти нові ферменти», – пояснив Моніруззаман у прес-релізі на веб-сайті Університету Маямі.
Виявлення гігантських вірусів досі виявилося складним завданням, оскільки сучасні комп’ютерні методи мали обмеження. Щоб подолати це, дослідницька група створила новий інструмент під назвою BEREN — програму, яка пропонує простий універсальний інструмент для ідентифікації та класифікації гігантських вірусів у наборах даних секвенування.
Для проведення свого дослідження дослідники зібрали дані секвенування ДНК з дев’яти великих проектів з відбору проб океану по всьому світу. За допомогою BEREN вони витягли з цих даних геноми гігантських вірусів.
Потім вчені проаналізували геноми, використовуючи загальнодоступні бази даних функцій генів, щоб визначити ролі та дії, що кодуються цими вірусами. Після цього результати порівняли з відомими геномами гігантських вірусів, щоб виявити раніше невідомі функції та глибше зрозуміти їхню різноманітність.
Віруси відіграють більшу роль у морській хімії, ніж вважалося раніше
Бенджамін Мінч, провідний автор дослідження та докторант Школи Розенстіля, зауважив, що гігантські віруси несуть гени, пов’язані з важливими клітинними функціями, такими як вуглецевий метаболізм та фотосинтез — процесами, які зазвичай зустрічаються лише в живих клітинах. Це відкриття свідчить про те, що ці віруси відіграють значну роль у зміні метаболізму свого хазяїна під час інфекції та можуть впливати на ключові морські хімічні цикли.